Scleroderma

Scleroderma (피부경화증)는 결합조직이 과도하게 침착되는 자가면역 질환이다.
Bullous Scleroderma에서 Collagen XVIII과 Fibronectin의 관여
정상 피부 (a)와 scleroderma 피부 (b)에서 Fibronectin 침착. Scleroderma에서 fibronectin 침착이 증가한 것을 볼 수 있다.
정상 피부에 비해 scleroderma 피부에서 fibronectin 침착이 증가한다.
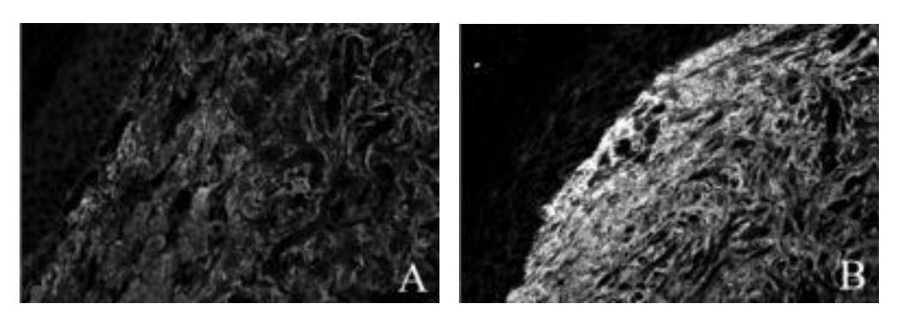
Collagen XVIII (basal lamina의 proteoglycan core protein)도 정상 피부(c)와 scleroderma 환자(d)에서 다르게 나타난다.
이러한 ECM 단백질의 비정상적 침착이 피부 경화와 관련이 있다.