Golgi apparatus

개요

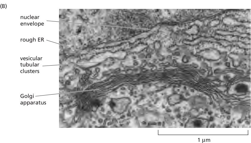
Golgi apparatus(Golgi complex)는 ER로부터 전달받은 단백질과 지질을 가공하고, 분류하여 세포의 다양한 목적지로 운반하는 주요 분류 및 발송 거점이다. 동물 세포의 Golgi apparatus는 대개 핵 근처, centrosome 가까이에 위치한다.

Golgi apparatus는 pita bread처럼 납작한 막으로 둘러싸인 구획인 cisternae로 구성되어 있으며, 각 Golgi stack은 일반적으로 4-6개의 cisternae를 포함한다. 동물 세포에서는 여러 stack이 관 모양 연결로 이어져 하나의 복합체를 형성한다.

구조

극성화된 구조

Golgi apparatus는 극성을 가진 기관소로, 두 개의 구별되는 면을 가진다:

  • Cis face (entry face): ER에 가장 가까운 면
  • Trans face (exit face): 세포 표면을 향한 면

각 면은 특수한 구획과 밀접하게 연결되어 있다:

Cisternae의 기능적 구획화

Golgi apparatus의 기능적 구획화를 참조하라.

주요 기능

1. 탄수화물 합성

Golgi apparatus는 세포에서 다당류를 합성하는 주요 장소이다:

  • 식물 세포벽의 pectin과 hemicellulose
  • 동물 세포외기질의 glycosaminoglycan

2. Oligosaccharide 가공

Golgi에서의 Oligosaccharide 가공을 참조하라.

3. Proteoglycan 조립

Proteoglycan 조립을 참조하라.

4. 황산화

Golgi apparatus에서 glycosaminoglycan의 당과 단백질의 일부 tyrosine이 황산화된다. 황산 donor는 3’-phosphoadenosine-5’-phosphosulfate (PAPS)이며, 이는 세포질에서 trans Golgi network의 내강으로 운반된다.

Golgi 막 단백질

ER 내강이 가용성 resident 단백질과 효소로 가득 차 있는 것과 달리, Golgi apparatus의 resident 단백질은 모두 막에 결합되어 있다. 모든 Golgi glycosidase와 glycosyl transferase는 single-pass transmembrane 단백질이며, 많은 경우 multienzyme complex로 조직되어 있다.

Transport 메커니즘

Golgi apparatus를 통한 transport는 여러 메커니즘을 통해 발생할 수 있다:

1. Vesicle transport 메커니즘

한 구획에서 다음 구획으로 cargo를 운반하는 transport vesicle을 사용한다.12 COPI-coated vesicle이 forward 및 backward transport 모두에 사용될 수 있다.12

2. Cisternal maturation 메커니즘

새로운 cis cisterna가 ER에서 온 vesicular tubular cluster의 융합으로 지속적으로 형성된다.2 Cargo가 cisterna 내에서 수정됨에 따라, 효소는 transport vesicle로 떠나 새로 도착하는 vesicular tubular cluster와 융합한다.12 동시에, cisterna는 나중 Golgi cisternae에서 온 효소를 포함하는 transport vesicle을 받아들여 medial cisterna로 전환된다.12

두 메커니즘의 요소가 다양한 정도로 사용될 가능성이 높다. Stack 중심에 오래 지속되는 cisternae의 안정적인 core가 존재할 수 있고, 가장자리의 영역은 지속적인 maturation을 겪을 수 있다.

동물세포에서의 Golgi의 위치를 결정하는 것

Golgi apparatus의 독특한 구조는 microtubule cytoskeleton과 세포질 Golgi matrix 단백질 모두에 의존한다:

GRASP (Golgi Reassembly and Stacking Proteins)

인접한 cisternae 사이에 scaffold를 형성하여 Golgi stack에 구조적 완전성을 부여한다.

Cis Golgi network (CGN)

CGN은 ER에서 도착하는 융합된 vesicular tubular cluster의 집합이다. 단백질과 지질이 cis Golgi network로 들어가 ER로 되돌아가거나 Golgi apparatus에서 계속 진행할 수 있다.

Trans Golgi network (TGN)

TGN은 단백질이 최종 목적지에 따라 분류되는 중요한 분류 거점이다:

  • 세포 표면
  • Endosome
  • Secretory vesicle

세포막에 도달하기 위한 transport vesicle은 일반적으로 불규칙한 모양의 관으로 TGN에서 떠난다.

관련 주제

Footnotes

  1. 2022 중간 29번 — Vesicle transport model(cisternae 안정적, COPI가 forward/backward 모두)과 cisternal maturation model(cisternae 이동·성숙, COPI는 역행 회수) 비교가 정답 근거로 활용됨. 2 3 4

  2. 2025 중간 21번 — Vesicle transport model vs. cisternal maturation model의 특성(procollagen 수송, cisternae 안정성, Rab cascade와의 유사성)에 관한 선지 ⑤가 정답. 2 3 4 5